What happens at the vet clinic?


Symptoms - How do I recognise that my dog has got an ear inflammation?

Each dog will respond to ear inflammation in a different way. Some dogs will rub, itch and shake their head and some will be more painful.

The ear might be slightly inflamed, with mild visible change, all the way through to a highly painful, bright red ear with foul discharge.

This is because there are many different types of otitis with many different causes. Some otitis cases involve nothing more than mild inflammation, whereas some involve nastier resistant bacterial organisms.

The images below display different stages and forms of ear inflammation.

Images (CWalker, ThePhotoVet)

Make a vet appointment whenever you notice that your dog has got signs of ear disease. Timing is of essence to avoid a more complicated situation. The degree of inflammation often highly influences your dog´s probability to allow an ear examination or application of medicine. 

History – For how long has your dog been having ear problems?

To get to the bottom of your dog´s ear problem and to plan further actions, your vet will need to collect a thorough history. This might happen in your first visit but it is not uncommon that an in-depth discussion is saved for follow-up visits to guide any further actions.

Your vet will ask questions concerning when you first noted your dog´s symptoms, if this is a recurring problem or if this is a first-time event.

If it is recurring, your vet will want to know more about when it happened last time and how was it managed. It is important to inform your vet about any ear cleaners or prior prescribed medications including, ear drops, tablets/oral solutions and injections that your dog might have been treated with.

Habits like frequent swimming and running in high grass will probably be covered as well as any other pets in the household and whether you use routine tick or flea control.

The vet will also be curious about your dog´s general health and whether you have noticed any itching, biting, licking or rubbing in other areas of the body. There is no such thing as too much information!

Examination – Why is it necessary to examine both the ear but also other areas of the body?

The initial discussion will be followed by a clinical examination. Your vet will assess your dog´s general health as well as checking its overall skin and coat to detect visible parasites or signs of a more generalised skin problem such as allergic skin disease or hormonal disorders.

Common places where dogs show signs of allergic skin disease, often redness, are between the toes (both on the upper and lower side of the paw), around the eyes and mouth and in the armpits and groin.

In early stages of an ear inflammation the earflap and outer ear canal will appear red and possibly a little bit swollen but commonly without signs of any discharge. As the condition progresses the ear will look waxy and dirty, more swollen and painful and you might even find foul smelling pus in the ear canal.

CWalker ThePhotoVet (Left)

Examination – Why is it necessary to examine both the ear but also other areas of the body?

The initial discussion will be followed by a clinical examination. Your vet will assess your dog´s general health as well as checking its overall skin and coat to detect visible parasites or signs of a more generalised skin problem such as allergic skin disease or hormonal disorders.

Common places where dogs show signs of allergic skin disease, often redness, are between the toes (both on the upper and lower side of the paw), around the eyes and mouth and in the armpits and groin.

In early stages of an ear inflammation the earflap and outer ear canal will appear red and possibly a little bit swollen but commonly without signs of any discharge. As the condition progresses the ear will look waxy and dirty, more swollen and painful and you might even find foul smelling pus in the ear canal.

CWalker ThePhotoVet (above)

Otoscopy – What can the vet detect with an otoscope?

Veterinarians use an otoscope (the name given to the instrument used to visualise the ear canal) to look down your dog´s ear. This is important to be able to find any ear residing mites, to detect foreign material or lumps present in the ear canal, to look for ulcerations that might influence the treatment choice and to visualise the ear drum. A ruptured ear drum makes things more complicated and will influence your vet’s treatment plan.

To be able to perform an otoscopic exam your vet often needs to clean your dog´s ear. The pain caused by otitis can sometimes make this difficult and sedation may be required, or you might even be sent home with some pain relieving or anti-inflammatory medication before the exam can be undertaken.

If your dog´s ear problem has advanced to a more chronic stage a deep cleaning ear flush is often needed and your dog will need general anaesthesia.

Otoscopy – What can the vet detect with an otoscope?

Veterinarians use an otoscope (the name given to the instrument used to visualise the ear canal) to look down your dog´s ear. This is important to be able to find any ear residing mites, to detect foreign material or lumps present in the ear canal, to look for ulcerations that might influence the treatment choice and to visualise the ear drum. A ruptured ear drum makes things more complicated and will influence your vet’s treatment plan.

To be able to perform an otoscopic exam your vet often needs to clean your dog´s ear. The pain caused by otitis can sometimes make this difficult and sedation may be required, or you might even be sent home with some pain relieving or anti-inflammatory medication before the exam can be undertaken.

If your dog´s ear problem has advanced to a more chronic stage a deep cleaning ear flush is often needed and your dog will need general anaesthesia.

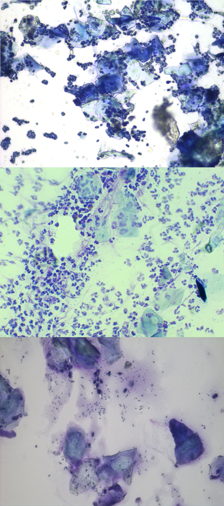
Cytology – Why is your vet insisting on doing cytology?

The next highly recommended step in the investigation will be to take a sample of any debris from your dog’s ear to be studied under a microscope, a process known as cytology.

Cytology is a quick, easy to perform test which can be done within the vet practice and will help the vet to decide if there are any signs of bacterial or yeast overgrowth.

Using a cytology brush, a cotton bud or possibly a gloved finger, material is collected from your dog´s ears and placed on a glass slide. The sample is dyed with special colouring to allow your vet to investigate what is going on in your dog´s ear on a microscopical level. All to decide whether there is an overgrowth of bacteria or yeast and to look for inflammatory cells which are otherwise invisible to the human eye.

Cytology – Why is your vet insisting on doing cytology?

The next highly recommended step in the investigation will be to take a sample of any debris from your dog’s ear to be studied under a microscope, a process known as cytology.

Cytology is a quick, easy to perform test which can be done within the vet practice and will help the vet to decide if there are any signs of bacterial or yeast overgrowth.

Using a cytology brush, a cotton bud or possibly a gloved finger, material is collected from your dog´s ears and placed on a glass slide. The sample is dyed with special colouring to allow your vet to investigate what is going on in your dog´s ear on a microscopical level. All to decide whether there is an overgrowth of bacteria or yeast and to look for inflammatory cells which are otherwise invisible to the human eye.

Not only does cytology allow your vet to choose an appropriate treatment, but it is also helpful to repeat it at your dog´s revisits to evaluate treatment success, if any changes to the treatment protocol are needed and to assist in developing a long-term plan for your dog´s ear problem.

With an increasing worldwide awareness of antimicrobial resistance, there is yet another reason why a thorough investigation including cytology is important.

Thanks to the added information that cytology brings, your vet has the opportunity to use antimicrobials:

  • Only when it is needed
  • For an appropriate length of time

Download information about why antibiotics
aren´t always needed

Why do vets insist on doing cytology?

Culture and susceptibility testing – When might it be necessary to culture samples from my dog´s ear?

In cases of treatment failure or hard to identify bacteria on cytology, it is sometimes advisable to send a sample to a laboratory to grow the bacteria and to test which antibiotic would be appropriate, but in most cases, cytology provides adequate information.

Treatment choice - How does the vet choose an appropriate treatment for my dog?

When it comes to the possible treatment options for both inflammation and infection of the ear, your vet team have many different products to choose from and will select the one that is right for your dog. 

What treatment options are available, and which is best?

These often include ear cleaners or antiseptic solutions; anti-inflammatory ear drops or antibiotic/antifungal containing ear medication.

There are options for daily administration or long-lasting in clinic alternatives.

Sometimes there is a need for systemic oral treatment or injections and if your dog has got advanced chronic ear disease, there might be a need for extensive surgery.

The reason for the wide choice is that when it comes to otitis – there is no one solution which is best for every pet.  It can even be the case that each ear requires a different approach!

In order to decide on the best treatment, your vet team will take all the following factors into account:

  • Degree of inflammation
  • Signs of overgrowth of bacteria and yeast
  • Any national guidelines on choice of medication
  • You and your dog´s individual circumstances regarding cost and ease of administration.

As already highlighted, every dog has a different experience with ear inflammation. Not only does this affect your visit at the vet’s but it can also mean your dog is reluctant to allow the application of medicine.

It is not just your dog who must be considered. For some owners daily medication and cleaning is no problem at all. However, some may struggle to administer product into the ear and for some the physical attributes of a product, such as a small fiddly caps, can impact upon ease of use. 

If the medication cannot be applied properly, not only will the outcome be impacted but also the risk of antimicrobial resistance is increased. 

As you can see, your vet must consider a lot of different information before deciding on how to best treat your dog's ear. You can help by providing a clear description of the concerns you have for your dog, by keeping records of ear signs and documenting the response to previous treatments where applicable.

Download a diary for your dog´s ears


keyboard_arrow_up